La Parodontite si puó curare?
“Mi hanno detto che la Parodontite non si può curare”. Molti pazienti spesso giungono al mio studio dopo essere stati dal proprio dentista di famiglia, con questa solita frase.
Di solito questa affermazione mi giunge dopo che all’esame clinico, nasca la mia domanda: come mai non si è rivolto prima ad uno specialista?
Perché la verità è che molto spesso la Parodontite viene trascurata, non solo dal paziente, ma anche da noi professionisti. Si decide infatti di intervenire quando ormai ci sono già i segni evidenti che la malattia sia in uno stadio avanzato. Magari quando il paziente ha bisogno già di qualche estrazione dentaria.
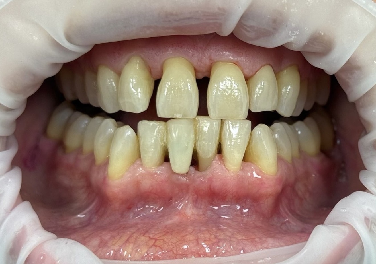
La verità è che questa malattia è molto diffusa, soprattutto nella popolazione adulta (si stima che ne soffra circa il 60% delle persone sopra i 30 anni). In molti casi, però, i sintomi della parodontite sono lievi (gengiviti, ipersensibilità) e solo dopo un attento esame clinico o dopo una radiografia possono essere valutati come indici di parodontite. Per questo motivo sia il paziente che il dentista generico che vede abitualmente il paziente potrebbe trascurare alcuni segni importanti.
Anche se la parodontite è una malattia cronica ed ingravescente, ovvero una patologia che non guarisce (come il diabete) e che tende a peggiorare, non curarla porta senza dubbio al verificarsi dei suoi effetti più negativi, ovvero la perdita di molti o tutti i denti.
Nessun paziente penserebbe mai di non curare il diabete, anche se sa che è una malattia dalla quale non si guarisce. Nessun paziente penserebbe di non curare l’artrite reumatoide, pur sapendo che non esiste al momento una cura che cancelli del tutto la patologia. Queste categorie di persone, come quelle affette da parodontite hanno in comune il fatto di lottare contro una patologia cronica. Con la quale sanno di dover convivere tutta la vita. Eppure le prime sue categorie sono consapevoli dell’importanza di rallentare la progressione della malattia, mentre chi soffre di parodontite no!
Il paziente a cui viene diagnosticata la parodontite, al contrario, pensa che sia inutile… tanto poi ci sono le protesi, tanto poi inseriamo gli impianti. Come se il paziente diabetico pensasse di non curarsi, tanto poi… diventerà cieco o subirà l’amputazione di un arto!
La verità che non viene spiegata peró è che il paziente che non impara ad avere cura dei propri denti e ad arrestare la parodontite, con grande probabilità sarà condannato anche a degli interventi implantari destinati al fallimento. È stato documentato infatti che gli stessi fattori di rischio e addirittura gli stessi batteri che sono responsabili della parodontite sono responsabili anche della perimplantite, che provoca il riassorbimento osseo intorno alle viti implantari.
Inoltre allo stesso modo, se non viene effettuata una diagnosi precisa di parodontite, con stadiazione e gradazione, si rischia di progettare male eventuali protesi rimovibili e di perdere in maniera progressiva gli elementi dentari di sostegno. Anche l’estrazione precoce degli elementi dentari, può portare ad un riassorbimento delle creste edentule troppo presto nell’arco di vita del paziente. Talvolta questa richiesta viene avanzata dagli stessi soggetti affetti da parodontite perché vogliono “liberarsi” del problema della parodontite.
In questo contesto è intuibile pensare che si debba curare la parodontite. Non solo perché è importante mantenere i propri denti, ma anche ai fini del successo della sostutuzione di questi con delle protesi. Un altro aspetto importante da tenere in considerazione quando si sceglie di curare questa malattia è relativo proprio alla relazione che questa ha con la salute sistemica dell’organismo. La parodontite infatti è una patologia su base infiammatoria e tutti i mediatori dell’infiammazione che agiscono a livello delle mucose hanno impatto anche sulla salute generale, peggiorando e influenzando altre malattie croniche come appunto il diabete, l’artrite reumatoide e simili. È stato documentato infatti che lo “spegnimento” dell’infiammazione a livello delle mucose determina un abbassamento dei livelli di mediatori dell’infiammazione in circolo, tanto che l’andamento delle altre malattie può addirittura trarne beneficio. Dunque esiste almeno un doppio motivo per cui si deve curare la parodontite.
Ma questa malattia si può curare?
Certamente sì! Questa è possibile con una corretta diagnosi, sia radiografica che clinica. La prima cosa da fare è una corretta anamnesi in cui si valutino i fattori di rischio: familiarità, abitudini e stili di vita, data dell’ultima visita, etc. Durante la prima visita il dentista inoltre osserva la presenza di placca e tartaro, la situazione gengivale, l’eventuale mobilità di alcuni elementi dentari ed effettua il sondaggio del solco gengivale. Già questi due passi danno informazioni molto utili sulla presenza o meno di parodontite. Dopo queste fasi si passa all’esame radiografico di primo livello ovvero la radiografia panoramica delle arcate dentarie. Questa serve ad osservare non solo la presenza di carie ma anche il livello generale dell’osso a sostegno dei denti.
Dopo la prima visita, il paziente in cui sono riconosciuti i sintomi della parodontite viene indirizzato verso percorsi più specifici. Alla radiografia panoramica che ci fornisce un quadro generale della situazione dentaria, viene affiancata la sistematica radiografica. Questo esame consiste in una serie di radiografie endorali di piccole dimensioni, in cui è possibile osservare dente per dente: livello dell’osso, presenza di tartaro calcificato, forcazioni radicolari compromesse, etc. Il limite di questo esame è che non fornisce un dato tridimensionale, per questo motivo va integrato con la cartella parodontale. Questa consiste nella misurazione dente per dente della profondità della tasca gengivale intorno agli elementi dentari, su 6 punti. Durante questo processo vengono rilevati anche la presenza di placca, sanguinamento e mobilità. Questo fornisce un quadro iniziale completo della situazione del paziente affetto da parodontite.
Dopo aver diagnosticato in maniera precisa la malattia, si effettuano sedute professionali di rimozione del tartaro sopra e sotto gengivale. Ma molto importanti risultano essere anche i momenti di educazione e motivazione all’igiene orale che riceve il paziente. Infatti, se il paziente non comprende come limitare al massimo l’accumulo di placca e tartaro, anche le sedute professionali avranno un successo limitato.
Grandi risultati abbiamo ottenuto, nel nostro caso, con il protocollo TRP (marchio registrato) nella gestione dei pazienti affetti da Parodontite. Nel 100% dei casi di pazienti che hanno completato il nostro protocollo si sono riscontrati: una riduzione delle tasche parodontali di oltre il 50%, riduzione della placca e del sanguinamento gengivale ad un anno del 70%, riduzione delle mobilità reversibili e degli elementi persi per parodontite.
Se vuoi scoprire di più sul nostro TRP, prenota una prima visita!

